actividades e imágenes

Aparato De Golgi Dibujo Para Colorear

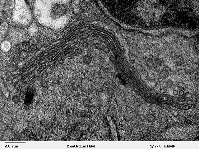
Imagenes Sin Copyright Aparato De Golgi Microscopia Electronica De Transmision

Celula Animal Anatomia Imagenes Educativas

Celula Animal Para Imprimir En Pdf 21

Celula Vegetal Librobotanicaonline Celula Vegetal

Aparato De Golgi Imagenes Vectoriales Grafico Vectorial De Aparato De Golgi Depositphotos

Citoplasma Wikipedia La Enciclopedia Libre

This Dibujo De Regalo De Navidad Para Colorear Presente Para Colorir Png is high quality PNG picture material, which can be used for your creative projects or simply as a decoration for your design & website content Dibujo De Regalo De Navidad Para Colorear Presente Para Colorir Png is a totally free PNG image with transparent background.

Aparato de golgi dibujo para colorear. En 18, Camilo Golgi descubrió el aparato de Golgi, un organelo que se encuentra en las células eucariotas en número variable Las células animales suelen t. Descarga ahora la ilustración Página Para Colorear Estructura De La Célula Vegetal Encontre más imágenes de alta resolución en la colección de iStock, que tiene un banco de ilustraciones e vectores de Anatomía disponible para descargar fácilmente. Ver más ideas sobre biología, aparato de golgi, célula animal BIOLOGÍA Encuentra dibujos de la biblia, angeles para colorear e imagenes cristianas para descargar, imprimir y colorear Muy buenos se�aladores o separadores cristianos, con frases e im�genes muy bonitas.

Ver más ideas sobre biología, aparato de golgi, célula animal BIOLOGÍA Encuentra dibujos de la biblia, angeles para colorear e imagenes cristianas para descargar, imprimir y colorear Muy buenos se�aladores o separadores cristianos, con frases e im�genes muy bonitas. Dibujos para colorear de partes del cuerpo humano Guiainfantilcom 19 de junio de 12 Dibujo para imprimir y pintar con los niños de una manoLos mejores dibujos para colorear e imprimir con los niños Imprime gratis estos dibujos para que los más pequeños desarrollen sus capacidades artísticas. Entre dibujos de estrellas para colorear, soles, lunas y planetas, las siguientes imágenes para imprimir del sistema solar serán parte de las herramientas que todo escolar necesita para enfrentar de buena manera una actividad de la escuela ¡UN MONTÓN DE IDEAS PARA TI!.

Aparato de Golgi Las celulas vegetales son células Eucariotas, se identifica por tener un citoplasma que se encuentra compuesto por membranas celulares que se encargan de la protección de la célula en el interior Además de que poseen un núcleo celular bien diferenciado en el cual se almacena el material genético de la célula. Te proponemos este dibujo de una competición de fútbol para imprimir y colorear Los dibujos infantiles de deportes enseñan a los niños a reconocer actividades y divertirse pintando estas imágenes gratuitas Los dibujos para pintar enseñan a los niños a mejorar su coordinación y la psicomotricidad. Para imprimir el dibujo de los Reyes Magos, para que los niños puedan colorearlo en sus vacaciones de Navidad y en día de Reyes, solo tienes de pulsar en la imagen abajo Colorear dibujos es una de las actividades que más les gustan a los niños, especialmente a los más pequeños.

Las proteínas, en su paso por el aparato de Golgi, llevan a cabo un proceso de modificación antes de ser liberadas El aparato de Golgi se encuentra especialmente desarrollado en células que tienen funciones relacionadas con la secreción de sustancias, como es el caso de las células del sistema nervioso o endocrino. Oct 23, 16 Dibujo de Sistema digestivo para Colorear Dibujosnet. Versión móvil Condiciones de uso ©04/21 Daniel Martínez Bou Todos los derechos reservados Esta web utiliza 'cookies' para ofrecerte un mejor servicio Las cookies de este sitio se usan para personalizar el contenido y los anuncios, para ofrecer funciones de medios sociales y para analizar el tráfico.

El aparato de Golgi es un orgánulo presente en todas las células eucariotasPertenece al sistema de endomembranas Está formado por unos 80 dictiosomas (dependiendo del tipo de célula), y estos dictiosomas están compuestos por 40 o 60 sáculos (cisternas) aplanados y rodeados de membrana que se encuentran apilados unos encima de otros, y cuya función es completar la fabricación de. Dibujo de unicornio kawaii para imprimir y colorear Dibujo de unicornio kawaii para imprimir y colorear Dibujo de unicornio kawaii para imprimir y colorear dekawaiicom Todos los derechos reservados. Entre dibujos de estrellas para colorear, soles, lunas y planetas, las siguientes imágenes para imprimir del sistema solar serán parte de las herramientas que todo escolar necesita para enfrentar de buena manera una actividad de la escuela ¡UN MONTÓN DE IDEAS PARA TI!.

El perro es el mejor amigo del hombre y a todos nos gustan los cachorros Es por tal motivo que te traemos una colección de dibujo de perros para colorear, listo para imprimir y pintarY lo mejor de todo es que te mostraremos un Vídeo donde te vamos a enseñar como lo debes de pintar, y que colores debes utilizar. Descarga fotos de Golgi Busca millones de imágenes de Golgi de alta calidad a precios muy económicos en el banco de imágenes 123RF Compra hoy. Aparato de Golgi, también llamado complejo de Golgi o cuerpo de Golgi, organelo unido a la membrana de células eucarióticas (células con núcleos claramente definidos) que se compone de una serie de bolsas apiladas apiladas llamadas cisternas El aparato de Golgi es responsable del transporte, modificación y embalaje proteínas y lípidos en Vesículas para entrega a destinos específicos.

Pinta los órganos externos del aparato reproductor femenino Es bastante común encontrar ese dibujo en el que se ven cada uno de los órganos externos del aparato reproductor femenino Puedes colorearlos de la manera más realista que puedas o puedes asociar los colores con las funciones de cada uno de estos órganos. Dibujo de winnie the pooh kawaii para imprimir y colorear. Dibujo de Célula Animal para colorear Célula Animal Dibujo para colorear Categorías Biología Páginas para imprimir y colorear gratis de una gran variedad de temas, que puedes imprimir y colorearAsómate a la vida noviembre 12 This Pin was discovered by Jorgelina Sekiguchi.

⬇ Descargue Ribosomas para dibujar imágenes e dibujos vectores de stock en la mejor agencia de fotografía de stock precios razonables millones de fotos e imágenes de stock de alta calidad y sin royalties. A highquality creative community needs everyone's contribution The shared material of Dibujo De Arco Iris Para Colorear Ultra Coloring Pages Arcoiris Dibujo Png is a free 1000x1000 PNG picture with no background, This PNG image is high resolution and very popular on the public internet. Aparato reproductor masculino y femenino Enviado por Programa Chuletas y clasificado en Biología Escrito el 5 de Junio de 08 en español con un tamaño de 1,96 KB.

Función respiración celular ( producción de atp) * Aparato de golgi vesículas apiladas Función empaquetado de sustancias de desecho * Vacuolas bolsas para contener sustancias de reserva o de desecho * Lisosomas transformación de grandes moléculas en partículas mas digeribles * Centríolo estructura de forma cilíndrica. Descargar Golgi Vectoriales en la mejor agencia de gráficos vectoriales con millones de vectoriales, ilustraciones y cliparts de gran calidad Premium, libres de regalías a precios razonables. 29jul Explora el tablero de Evelyn ValdezMendoza "Sistema respiratorio para colorear" en Ver más ideas sobre sistema respiratorio para colorear, sistema respiratorio, carta de amor manualidades.

03sep14 Aparato de golgi Ver más ideas sobre aparato de golgi, aparatos, microscopio electronico. Aparato locomotor para colorear (41/41) La mejor manera de aprender las distintas partes del cuerpo que nos ayudan a movernos y desplazarnos Nuestros dibujos del aparato locomotor para colorear son ideales para que los niños aprendan mientras se lo pasan en grande pintando huesos y músculos. Núcleo central, retículo endoplásmico, aparato Golgi, lisosomas, ribosomas, mitocondrias, centriolo Ilustración vectorial Aparatos Golgi una parte de la célula Página para colorear Estructura de la célula vegetal con títulos Anatomía de sección transversal celular dibujo.

Te mostramos Qué es, Para qué sirve el aparato de Golgi El TGN está compuesto por estructuras denominadas sáculos, las cuales se agrupan en número variable 999 request failed Célula Animal Dibujo para colorear Categorías Biología Páginas para imprimir y colorear gratis de una gran. Dibujo de Pino para colorear en línea Diversión, fácil y libre de imprimir. Manos dibujo animado para colorear is now becoming widely popular by friends all around us, one of these buddy They re accustomed to online on cell phones to consider image information to become a concept Next may be the photo about Manos dibujo animado para colorear you could help make an insight.

DIBUJOS DEL APARATO DE GOLGI INDICANDO PARTES El aparato de Golgi es un orgánulo presente en todas las células eucariotas El aparato de Golgi fue nombrado por quien lo descubrió Camilo Golgi El aparato de Golgi pertenece al sistema de endomembranas de citoplasma celular. Dibujos de la celula para colorear Delimita la celula y controla lo que entra y sale de la celula para darle Juro bajo pena de perjurio que la información de esta notificación es correcta y que soy el propietario de los derechos de autor o estoy autorizado a actuar en nombre del propietario de un derecho exclusivo que presuntamente se ha. Prepárate para convertirte en un gran pintor, con nuestra gran variedad de dibujos para colorear, listo para imprimir y pintar, donde te convertirás en todo un PicassoY lo mejor de todo, es que te explicamos paso a paso como debes de pintar tu dibujo favorito.

En Pequeocio tenemos dibujos para colorear de muchas temáticas, y algunas de ellas están pensadas especialmente para los más pequeños dibujos para colorear de animales, de paisajes, de coches, aviones o trenes pintando pasarán horas de diversión. Nuestros dibujos del aparato circulatorio Archivado en Aparato circulatorio , El cuerpo completado y pintado unos dibujos sobre el mismo Aquí tienes uno ejemplo Pincha en la imagen para verla en grande Dibujo de Amalia Compártelo con tus amigos Haz clic para compartir en WhatsApp (Se abre en una ventana nueva) Haz clic para. 29jul Explora el tablero de Evelyn ValdezMendoza "Sistema respiratorio para colorear" en Ver más ideas sobre sistema respiratorio para colorear, sistema respiratorio, carta de amor manualidades.

Dibujo de Sistema digestivo para Colorear Dibujosnet wwwpinterestcom Sistema digestivo para colorear Entender la digestión, es posible con el sistema digestivo para colorear, ya que en esta representación gráfica, se pueden apreciar cada uno de los órganos que wwwimagenesparadibujarorg. Te mostramos Qué es, Para qué sirve el aparato de Golgi El TGN está compuesto por estructuras denominadas sáculos, las cuales se agrupan en número variable 999 request failed Célula Animal Dibujo para colorear Categorías Biología Páginas para imprimir y colorear gratis de una gran. 25jul19 Dibujo de Tinker Bell para imprimir y colorear.

Imagenes Del Sistema Solar Imagenes De Los Planetas Planetas Do Sistema Solar Sistema Solar Para Niños Preescolar Espacial Libros De Preescolar Planetas Para Colorear Páginas Para Colorear Manualidades Educativas. Colorear dibujo de frutas Frutas kawaii para imprimir y colorear, también para pintar online. Se caracteriza por poseer Pared celular, Cloroplastos y grandes Vacuolas, entre sus otras partes tenemos el núcleo, vesícula, mitocondria, plasmodesmo, aparato de Golgi, retículo endoplásmico Estos dibujos de la célula vegetal para colorear fueron hechas a mano por Jesus Gómez Plantas para colorear.

Ver más ideas sobre biología, aparato de golgi, célula animal BIOLOGÍA Encuentra dibujos de la biblia, angeles para colorear e imagenes cristianas para descargar, imprimir y colorear Muy buenos se�aladores o separadores cristianos, con frases e im�genes muy bonitas. Ayuda didactica, Biología Medicina USAC. Oct 23, 16 Dibujo de Sistema digestivo para Colorear Dibujosnet.

Dibujo para colorear del cuento La Caperucita Roja Un personaje que gustará a los peques y que puede ser usado para completar la narración del cuento. 25oct16 Explora el tablero de beg frances "BIOLOGIA" en Ver más ideas sobre Biología, Aparato de golgi, Célula vegetal. 30dic18 Explora el tablero de biofunprofe "celula" en Ver más ideas sobre celulas, célula animal, celula animal para colorear.

Imagen de tortuga para colorear , 2 Ver respuestas angie angie Aqui esta tu imagen para colorear kanequ kanequ Respuesta jajajajajajaa Celular Mitocondria Vacuolas Retículo Endoplasmático Liso Retículo Endoplasmático Rugoso Aparato de Golgi Ribosomas Libres Centrosoma Centriolo Lisosomas Vesículas Citoesqueleto. 25mar15 Arturo Toyom descrubrió este Pin Descubre (y guarda) tus propios Pines en. Descarga ahora la ilustración Página Para Colorear Estructura De La Célula De Planta Con Títulos Encontre más imágenes de alta resolución en la colección de iStock, que tiene un banco de ilustraciones e vectores de Anatomía disponible para descargar fácilmente.

29jul Explora el tablero de Evelyn ValdezMendoza "Sistema respiratorio para colorear" en Ver más ideas sobre sistema respiratorio para colorear, sistema respiratorio, carta de amor manualidades. El aparato de Golgi es un orgánulo presente en todas las células eucariotasPertenece al sistema de endomembranas Está formado por unos 80 dictiosomas (dependiendo del tipo de célula), y estos dictiosomas están compuestos por 40 o 60 cisternas (sáculos) aplanadas rodeados de membrana que se encuentran apilados unos encima de otros, y cuya función es completar la fabricación de algunas. Descargue el vector de stock Estructura de las células humanas Orgánulos Núcleo central, retículo endoplásmico, aparato de Golgi, lisosomas, ribosomas, mitocondrias centríolo ilustración vectorial sin royalties de la colección de millones de fotos, imágenes vectoriales e ilustraciones de stock de alta resolución de Depositphotos.

Dibujos para colorear, colorear imágenes, educación, escolar, dibujos, colorear la imagen Aparato digestivo Descripción de la Ficha de Aparato Digestivo para Niños de Segundo de Primaria Esta ficha lo encontraras en formato PDF y DOC para que puedas descargarlo, modificarlo o imprimirlo de forma gratuita. ⬇ Descargue Ribosomas para dibujar imágenes e dibujos vectores de stock en la mejor agencia de fotografía de stock precios razonables millones de fotos e imágenes de stock de alta calidad y sin royalties. Dibujo de Sistema digestivo para Colorear Dibujosnet wwwpinterestcom Sistema digestivo para colorear Entender la digestión, es posible con el sistema digestivo para colorear, ya que en esta representación gráfica, se pueden apreciar cada uno de los órganos que wwwimagenesparadibujarorg.

25oct16 Explora el tablero de beg frances "BIOLOGIA" en Ver más ideas sobre biología, aparato de golgi, célula vegetal.

Cel Tejidos Organos Aparatos

Como Dibujar El Aparato Golgi Organelo Celular Youtube

La Celula Pagina Web De Maloto08

Aparato De Golgi Imagenes Vectoriales Grafico Vectorial De Aparato De Golgi Depositphotos

Soma Neurologia Wikipedia La Enciclopedia Libre

Free Golgi Apparatus Cliparts Download Free Clip Art Free Clip Art On Clipart Library

Pin On Las Celulas

La Celula Animal Colorear Y Completar Primaria Editable Orientacion Andujar

Asa Mate A La Vida Noviembre 12 En Celula Animal Para Colorear Celula Animal Maquetas De Celulas

Para Que Futuro Educamos Actividad Para Celula Animal Y Vegetal

Aparato De Golgi Que Es Funciones Y Estructura Significados

Aparato De Golgi Estructura Funciones Y Caracteristicas

Como Dibujar Una Celula Vegetal Y Sus Partes De La Celula Vegetal Youtube

Aparato De Golgi Estructura Funciones Y Caracteristicas

Sabes Como Es Una Celula Por Dentro Scenio

Clelula Nucleo Mitocondria Cloroplasto Lisosomas Aparato De Golgi

La Celula Monografias Com

45 Ilustraciones Clipart Dibujos Animados E Iconos De Stock De Aparato De Golgi Getty Images

Estructura Celular

Bolsa De Tela Aparato De Golgi De Mollyreusser Redbubble

Aparato De Golgi Funcion Y Definicion Educandose En Linea

Clelula Nucleo Mitocondria Cloroplasto Lisosomas Aparato De Golgi

Vesicula Biologia Celular Wikipedia La Enciclopedia Libre

Partes De Una Celula Ask A Biologist

Imagenes De Celulas Animal Para Colorear Imagui

Aparato De Golgi Estructura Funciones Y Caracteristicas

Estructura Celular Biologialosalpes S Blog

Reticulo Endoplasmatico Rugoso Wikipedia La Enciclopedia Libre

61 Fotos E Imagenes De Aparato De Golgi Getty Images

Golgi Apparatus High Resolution Stock Photography And Images Alamy

100 Ideas De Celulas Cell Biologia Biologia Celular Clase De Biologia

Resultado De Imagen Para Imagenes De Aparato De Golgi Cell Organelles Organelles Packaging

Celula Animal Y Vegetal Para Colorear Biologia Organismos

La Celula Animal Colorear Y Completar Primaria Editable Orientacion Andujar

Las Celulas Y La Estructura Celular Cancerquest

Juego Interactivo La Celula Animal Imagenes Educativas

Aparato De Golgi Glicosilacion Proteina Membrana Celular Enfatizar Texto Celula Png Pngegg

Grafico Vectorial Aparato De Golgi Imagen Vectorial Aparato De Golgi Depositphotos

Caja De Caricias Aparato De Golgi Generalidades

Planta Celular Cel Lula Biologia Animal Membrana Celular Modelo De Celula Animal Biologia Celula Png Pngegg

Ihmc Public Cmaps 2

Grafico Vectorial Golgi Imagen Vectorial Golgi Depositphotos

Golgi Imagenes Fotos De Stock Y Vectores Shutterstock

Aparato De Golgi Descarga Gratuita De Png Material Patron Aparato De Golgi Cliparts Imagen Png Imagen Transparente Descarga Gratuita

Guia Para Colorear Cel Euc Iºmedio

Ilustracion De Ilustraciones De Bocetovectoriales Vectoriales Estructura Esquematica De La Celula Vegetal Y Mas Vectores Libres De Derechos De Adn Istock

Recopilacion De Imagenes Organulos Celulares

Tipos De Celulas Y Sus Partes Con Imagenes Saberimagenes Com

Como Dibujar Una Celula Animal 11 Pasos Con Imagenes

Golgi Imagenes Fotos De Stock Y Vectores Shutterstock

Partes De Una Celula Ask A Biologist

Aparato De Golgi Aparato De Golgi

El Aparato De Golgi

Aparato De Golgi Xinactivation Cromosoma X Imagen Png Imagen Transparente Descarga Gratuita

De Golgi Ilustraciones Stock Vectores Y Clipart 527 Ilustraciones Stock

Dibujo De Celula Animal Y Sus Partes Youtube

Figura 10 El Aparato De Golgi Es Una Red De Bolsas Aplanadas Con Tubos Y Canales Conectados Entre Si Su Funcion Principal Es Alm Membrana Citoplasma Tubos

Investigacoes Em Ensino De Ciencias Issn 1518 8795

Pagina Para Colorear Aparatos Golgi En Blanco Y Negro Etsy

Celula Vegetal Para Imprimir En Pdf 21

Pagina Educativa Madre Creativa Dibujos Del Aparato De Golgi Indicando Partes

Reticulo Endoplasmico Rugoso Estructura Y Funciones

Programa De Biologia

Grafico Vectorial Aparato De Golgi Imagen Vectorial Aparato De Golgi Depositphotos

Necesito Dos Imagenes Para Colorear De Las Celulas Eucariota Y Procariota Brainly Lat

De Golgi Ilustraciones Stock Vectores Y Clipart 527 Ilustraciones Stock

Ilustracion De Pagina Para Colorear Estructura De La Celula Vegetal Y Mas Vectores Libres De Derechos De Anatomia Istock

Imagenes De Celula Animal Y Vegetal Para Colorear Alguien Sabe Brainly Lat

Aparato De Golgi Png Klipartz

Resultado De Imagen Para Aparato De Golgi Animado

Cvc Santiago Ramon Y Cajal Recuerdos De Mi Vida Historia De Mi Labor Cientifica Capitulo Xxv

Organizacion De La Celula Eucariotica

Cel Lula Animal Libro Para Colorear Celula Vegetal Celula Eucariota Color Celula Animal Png Pngwing

Imagen Para Colorear De La Celula Vegetal Imagui

Golgi Imagenes Fotos De Stock Y Vectores Shutterstock

Duelo De Titanes Camillo Golgi Vs Santiago Ramon Y Cajal Como Sabemos

61 Fotos E Imagenes De Aparato De Golgi Getty Images

Celula Vegetal Diccionario Visual

La Celula Guia Basica Para Aprender Y Repasar Sobre Las Celulas

Encuentra Aqui Informacion De Organelas Citoplasmaticas Para Tu Escuela Entra Ya Rincon Del Vago

Celula Vegetal Anatomia Imagenes Educativas

Cvc Santiago Ramon Y Cajal Recuerdos De Mi Vida Historia De Mi Labor Cientifica Capitulo Xx